মানুষের দৈনন্দিন জীবনে একটা ছোট অভ্যাস, শুধুমাত্র হাত না ধোয়ার কারণে মানবদেহে “হাইডাটিড সিস্ট” নামক ভয়াবহ রোগ হতে পারে, যাকে বুকের ভেতরে বছরের পর বছর ধরে “ফেটে যাওয়ার অপেক্ষায় থাকা বোমা” বলা হয়। এক্ষেত্রে নিয়মিত হাত ধোয়ার অভ্যাসই বাঁচাতে পারে জীবন।

হাইডাটিড সিস্ট আসলে কীভাবে হয়?
হাইডাটিড রোগ হয় ইচিনোকক্কাস গ্রানুলোসাস নামের টেপওয়ার্মের মাধ্যমে। এর ডিম পাওয়া যায়- কুকুরের মল, কাঁচা মাংস, দূষিত মাটি, ঘরের আশপাশের ধুলো, এমনকি পোষা প্রাণীর লোমে। হাইডাটিড সিস্ট শুধু গ্রামাঞ্চলে না শহরেও হয়। যাদের ঘরে পোষা কুকুর আছে, যারা কাঁচা মাংস হাত দিয়ে ধোয়, যারা বাগানে অথবা বারান্দায় মাটি নিয়ে কাজ করেন সবাই এই রোগের ঝুঁকিতে রয়েছেন।
দৈনন্দিন কাজের মাধ্যমে মানুষ হাইডাটিড সিস্টের ডিম হাত দিয়ে স্পর্শ করে। হাত না ধুয়ে মুখে হাত দিলে বা খাবার খেলে অদৃশ্যভাবে এর ডিমগুলো মানুষের দেহে ঢুকে পড়ে। পরে এগুলো লিভার, ফুসফুসে গিয়ে ধীরে ধীরে সিস্ট বানায়। অথচ বছরের পর বছর কোন লক্ষণই দেখা যায় না, অনেকটা নীরব বোমার মতো।
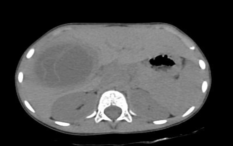
হাইডাটিড সিস্টের লক্ষণ হলো- জ্বর, কাশি, বুকের মাঝখানে চাপ, হাঁটলেই শ্বাসকষ্ট অনুভূত হওয়া। প্রাথমিকভাবে “সিজনাল ফ্লু” মনে হতে পারে। বুকের এক্স-রে করলে পানির ঢেউয়ের মতো অস্বাভাবিক ফ্লুইড লেভেল দেখা যাবে। তবে এটা মোটেও সাধারণ নিউমোথোরাক্স না। সিটি স্ক্যান করার মাধ্যমে “হাইডাটিড সিস্ট” স্পষ্ট বোঝা যাবে।
হাইডাটিড সিস্ট কেন এত ভয়ংকর?
হাইডাটিড সিস্ট ভয়ংকর কারণ সিস্টের ফ্লুইড অত্যন্ত অ্যান্টিজেনিক। ফেটে গেলে সিভিয়ার অ্যালার্জিক রিএ্যাকশন, অ্যানাফিল্যাক্সিস, হঠাৎ শ্বাস-প্রশ্বাসের ব্যর্থতা এমনকি শক পর্যন্ত হতে পারে।
হাইডাটিড সিস্ট ফেটে গেলে ভেতরের অংশগুলো পানির ওপর ভাসমান ওয়াটারলিলি সাইনের মত দেখায়, যেন মনে হবে বুকের ভেতরে পদ্মফুল ভেসে আছে। এটাই মূলত ফেটে যাওয়া এন্ডোসিস্ট -এর ফোল্ডেড মেমব্রেনস, যার মধ্যে ভেসে আছে ডটার সিস্টস। কখনো এটা সাপের মতো ভাঁজ হয়ে সার্পেন্টাইন সাইনও তৈরি করে।
হাইডাটিড সিস্ট লাঙসের অংশ নষ্ট করে ফেললে দ্রুত এনুসিলেশন ও লোবেক্টমি করতে হবে।
হাইডাটিড সিস্ট থেকে বাঁচাতে হাত ধোয়ার পাশাপাশি কুকুর, বিড়াল ও অন্যান্য পোষাপ্রাণীদের নিয়মিত ডিওয়ার্মিং ও ভ্যাক্সিন দিতে হবে।






