চ্যানেল আই অনলাইন
Advertisement
English
  • সর্বশেষ
  • বাংলাদেশ
  • আন্তর্জাতিক
  • রাজনীতি
  • খেলাধুলা
  • বিনোদন
  • অপরাধ
  • অর্থনীতি
  • আদালত
  • ভিডিও
  • স্বাস্থ্য
  • জনপদ
  • প্রবাস সংবাদ
  • চ্যানেল আই টিভি
    [vc_row][vc_column][vc_video link="https://www.youtube.com/live/GvSQMcp7GDo?si=AFUi4hYFRyndxJNP" css=""][/vc_column][/vc_row]
No Result
View All Result
চ্যানেল আই অনলাইন
En

মাইগ্রেনের ব্যথায় হাসপাতালে গিয়ে মস্তিষ্কে মিললো শূকরের টেপওয়ার্ম!

চ্যানেল আই অনলাইনচ্যানেল আই অনলাইন
2:26 অপরাহ্ন 10, মার্চ 2024
আন্তর্জাতিক, আন্তর্জাতিক সেমি লিড নিউজ
A A
Advertisements

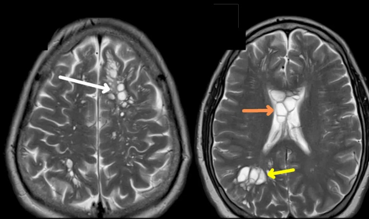
মাইগ্রেনের সমস্যা অনেকেরই আছে। কিন্তু সেই রোগ সারাতে গিয়ে এক ভয়ঙ্কর সমস্যা দেখলেন চিকিৎসকরা। রোগীর সিটি স্ক্যান ধরা পড়ে ওই ব্যক্তির মাথায় একাধিক সিস্ট রয়েছে, যা শূকরের টেপওয়ার্মের কারণে তৈরি হয়েছে।

রোববার ১০ মার্চ ভারতীয় সংবাদ মাধ্যম এনডিটিভি’র প্রতিবেদনে বলা হয়, যুক্তরাষ্ট্রে একজন ৫২ বছর বয়সী ব্যক্তি গুরুতর মাইগ্রেনে আক্রান্ত ছিলেন। গত চার মাস ধরে ঘন ঘন মাইগ্রেনের ব্যথায় জীবন অতিষ্ট হয়ে উঠছিল ওই ব্যক্তির। এরপরই তিনি সিদ্ধান্ত নেন চিকিৎসকদের কাছে যাওয়ার।

প্রতিবেদনে বলা হয়, হাসপাতালে গেলে দ্রুত সিটি স্ক্যান করার সিদ্ধান্ত নেনে চিকিৎসকরা। সেখানেই দেখা যায় ওই ব্যক্তির মাথায় একাধিক সিস্ট রয়েছে। যা শূকরের টেপওয়ার্মের কারণে তৈরি হয়েছে বলে নিশ্চিত হন চিকিৎসকরা।

চিকিৎসকরা জানান, ওই রোগীর পছন্দের খাবার ছিল বেকন। অল্প রান্না করা বেকন খাওয়ার ফলে তিনি এই রোগে আক্রান্ত হন। মাইক্রোস্কোপিক ডিমগুলো তার অন্ত্রে প্রবেশ করে প্রথমে। যার ফলে একটি টেপওয়ার্ম সেখানে তৈরি হয়। সেখানেই ডিম পাড়ে।

চিকিত্সকরা জানান, পরজীবী সংক্রমণ নিউরোসিস্টিসারকোসিস রোগে আক্রান্ত ওই রোগী। বৈজ্ঞানিক পরিভাষায় শরীরের বিভিন্ন অঙ্গে সংক্রমিত করে।

সম্প্রতি আমেরিকান জার্নাল অফ কেস রিপোর্টে লোকটির অসুস্থতার বিবরণ প্রকাশিত হয়। রোগীকে প্রথমে আইসিইউ-তে ভর্তি করানো হয়। দিনে চারবার কর্টিকোস্টেরয়েড ডেক্সামেথাসোন দেওয়া হয়েছিল। তাকে দু’সপ্তাহের জন্য অ্যালবেনডাজল এবং প্রাজিকুয়ান্টেলও দেওয়া হয়েছিল, যা কৃমি সংক্রমণের চিকিৎসায় ব্যবহৃত হয়।

ন্যাশনাল ইনস্টিটিউট অফ হেলথ (এনআইএইচ) অনুমান করে যে মার্কিন যুক্তরাষ্ট্রে প্রতি বছর নিউরোসিস্টিসারকোসিসের এক হাজার ৩২০ থেকে পাঁচ হাজার ৫০টি ঘটনা ঘটে।

ট্যাগ: টেপওয়ার্মমস্তিষ্কে শূকরের টেপওয়ার্মমাইগ্রেনের ব্যথাযুক্তরাষ্ট্র
শেয়ারTweetPin
পূর্ববর্তী

গাজা যুদ্ধের তীব্রতার কারণে ত্রাণবাহী কার্গো নৌকা প্রস্তুত

পরবর্তী

টাঙ্গাইলে আলাউদ্দিন টেক্সটাইল কারখানায় আগুন নিয়ন্ত্রণে

পরবর্তী

টাঙ্গাইলে আলাউদ্দিন টেক্সটাইল কারখানায় আগুন নিয়ন্ত্রণে

রণবীরকে টপকে সেরা অভিনেতার পুরস্কার বরুণের ঝুলিতে, সেরা অভিনেত্রী শ্রদ্ধা

সর্বশেষ

ছবি: সংগৃহীত

ঈদুল ফিতরের পরে বইমেলা আয়োজনসহ ৪ দফা দাবি প্রকাশকদের

ফেব্রুয়ারি 2, 2026

কিংবদন্তি গোলরক্ষক রণজিৎ দাস মারা গেছেন

ফেব্রুয়ারি 2, 2026

এলপিজি গ্যাসের দাম আবারও বাড়লো, সন্ধ্যায় কার্যকর

ফেব্রুয়ারি 2, 2026

সারা দেশে জমে উঠেছে নির্বাচনী প্রচার-প্রচারণা

ফেব্রুয়ারি 2, 2026

বইমেলা পিছিয়ে দেওয়ার দাবিতে প্রকাশকদের সংবাদ সম্মেলন

ফেব্রুয়ারি 2, 2026
iscreenads

প্রকাশক: শাইখ সিরাজ
সম্পাদক: মীর মাসরুর জামান
ইমপ্রেস টেলিফিল্ম লিমিটেড , ৪০, শহীদ তাজউদ্দীন আহমদ সরণী, তেজগাঁও শিল্প এলাকা, ঢাকা-১২০৮, বাংলাদেশ
www.channeli.com.bd,
www.channelionline.com 

ফোন: +৮৮০২৮৮৯১১৬১-৬৫
info@channelionline.com
online@channeli.tv (Online)
news@channeli.tv (TV)

  • আর্কাইভ
  • চ্যানেল আই অনলাইন সম্পর্কে
  • চ্যানেল আই সম্পর্কে
  • চ্যানেল আই সকল সোস্যাল মিডিয়া

Welcome Back!

Login to your account below

Forgotten Password?

Retrieve your password

Please enter your username or email address to reset your password.

Log In

Add New Playlist

No Result
View All Result
  • প্রচ্ছদ
  • চ্যানেল আই লাইভ | Channel i Live
  • বাংলাদেশ
  • আন্তর্জাতিক
  • স্বাস্থ্য
  • স্পোর্টস
  • রাজনীতি
  • অর্থনীতি
  • বিনোদন
  • লাইফস্টাইল
  • কর্পোরেট নিউজ
  • আইস্ক্রিন
  • অপরাধ
  • আদালত
  • মাল্টিমিডিয়া
  • মতামত
  • আনন্দ আলো
  • জনপদ
  • আদালত
  • কৃষি
  • তথ্যপ্রযুক্তি
  • নারী
  • পরিবেশ
  • প্রবাস সংবাদ
  • শিক্ষা
  • শিল্প সাহিত্য
  • চ্যানেল আই সকল সোস্যাল মিডিয়া

© 2023 চ্যানেল আই - Customize news & magazine theme by Channel i IT

Exit mobile version